Home
About the Practice
Matthew P. Cubbage, MD
Advanced Orthopaedics & Sports Medicine
Staff
Contact Us
Patient Conditions
Cervical
Thoracic
Lumbar
Sacrum
Degenerative Disc Disease (DDD)
Herniated Discs
Osteoporosis
Spondylolisthesis
Stenosis
Spinal Fractures
Education
Multimedia Patient Education
Spine Anatomy
Diagnostic Exams
Non-Operative Treatment
Spinal Surgery
Pre-Op & Post-Op Instructions
Spine Glossary
FAQ’s
Testimonials
Appointments
Patient Survey
Useful Links
Minimally Invasive Surgery of the Neck & Back
Media
Videos
Testimonials
Patient Cases
Contact Us
Patient Forms
Menu
Home
About the Practice
Matthew P. Cubbage, MD
Advanced Orthopaedics & Sports Medicine
Staff
Contact Us
Patient Conditions
Cervical
Thoracic
Lumbar
Sacrum
Degenerative Disc Disease (DDD)
Herniated Discs
Osteoporosis
Spondylolisthesis
Stenosis
Spinal Fractures
Education
Multimedia Patient Education
Spine Anatomy
Diagnostic Exams
Non-Operative Treatment
Spinal Surgery
Pre-Op & Post-Op Instructions
Spine Glossary
FAQ’s
Testimonials
Appointments
Patient Survey
Useful Links
Minimally Invasive Surgery of the Neck & Back
Media
Videos
Testimonials
Patient Cases
Contact Us
Patient Forms
Contact:
1-(888)-67-SPINE (77463)
(281) 517-8515
Online Patient Forms
Cervical (Neck)
Neck Pain
Cervical Herniated Disc
Cervical Stenosis
Cervical Disc Protrusion
Cervical Spondylosis
Cervical Radiculopathy
Thoracic
Mid-back pain
Adult Kyphosis
Scheuermann’s kyphosis
Lumbar
Low back pain
Lumbar Herniated Disc
Lumbar Stenosis
Lumbar Degenerative Disc Disease
Piriformis Syndrome
Sciatica
Ankylosing Spondylitis
Sacrum
Sacroiliac Joint Dysfunction
Cervical
Thoracic
Lumbar
Sacrum
Cervical (Neck)
Thoracic
Lumbar
Sacrum
Home
»
Patient Info
» Patient Cases
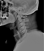
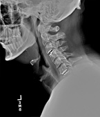
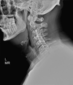
Patient Cases
Before
After
Before
After
Before
After
Before
After
Menu
Home
Bio
Instuctions
FAQ´s
Contact Us
Clinical Interests
Cervical (Neck)
Lumbar (Low Back)
Scoliosis
North Cypress Spine Center
21212 Northwest Freeway
Suite 605
Cypress, TX 77429
Tel:
(281) 517-8515
Fax: (281) 955-5875
Get Directions
Follow us